Передзвонити Замовити дзвінок
пн-сб 9-00 - 21-00нд 10-00 -18-00
Львів, вул. Кульпарківська, 93, корп 2
Локація Прокласти маршрут
Телефон
Записатися

Наші кейси

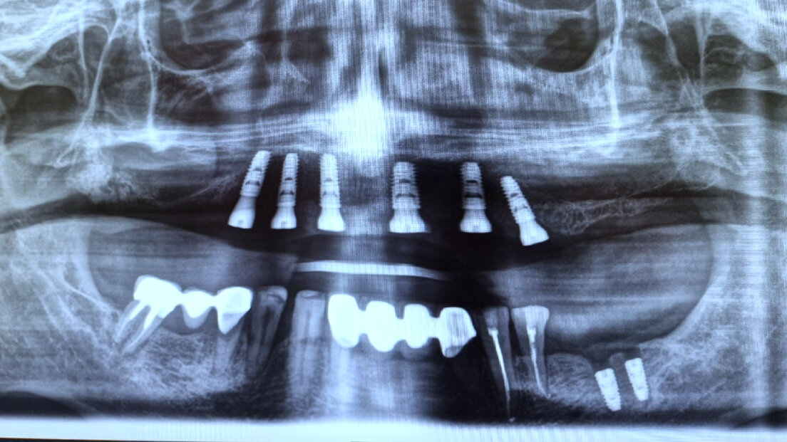
Імплантація зубів All-on-6, Все-на-шести
Вихідна ситуація: скарги пацієнта на повну відсутність зубів на верхній щелепі та часткову втрату на нижній. Це призводило до труднощів у жуванні, порушення дикції та зниження якості життя. Після детального обстеження та консультації було прийнято рішення провести протезування за методикою "все на шість" на верхній щелепі. Ця технологія передбачає встановлення шести імплантатів, на яких фіксується незнімний протез. Це дозволяє відновити повну функціональність та естетику зубного ряду. На цей час пацієнт перебуває на етапі підготовки до імплантації. Метою є не тільки відновлення функціональності, але й покращення естетичного вигляду, що позитивно вплине на самооцінку та соціальну активність пацієнта.
Категорія: Ортопедія (протезування)
Художня реставрація верхнього зубного ряду
Вихідна ситуація: незадовільний колір зубів, стертість емалі, старі реставрації, що потребували заміни.  Побажання пацієнта: природний вигляд, максимальне збереження наявних здорових тканин зубів і небажання встановлювати коронки. Оцінивши наявну ситуацію і побажання пацієнта ми запропонували реставрацію зубів сучасними композитними матеріалами. Як наслідок пацієнт отримав відновлений природний колір та форму зубів.
Категорія: Художня реставрація
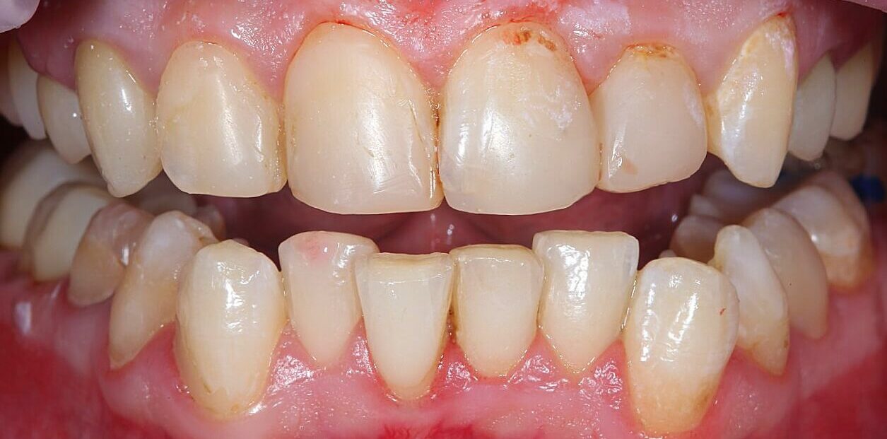
Протезування передніх зубів
Вихідна ситуація: потемніння передніх зубів, відсутність деяких зубів на верхній щелепі, що ускладнювало процес жування. Оцінивши стан залишкових зубів та ясен запропонували протезування передніх зубів. У результаті пацієнт отримав повністю відновлені передні зуби, які виглядають та функціонують як натуральні, що покращило його зовнішній вигляд та повернуло впевненість у собі й комфорт у спілкуванні.
Категорія: Ортопедія (протезування)
Реставрація переднього зуба
Вихідна ситуація: пошкодження переднього зуба після травми, дискомфорт під час розмови та споживання їжі, порушення естетики усмішки. Провівши ретельний огляд залишкової частини зуба для виключення внутрішніх пошкодження кореня або пульпи зуба, запропонували пряму реставрацію композитними матеріалами, яка дозволяє відновити форму та функцію зуба за одне відвідування. У результаті пацієнт отримав відновлений зуб, що максимально природно схожий до оригіналу.
Категорія: Художня реставрація
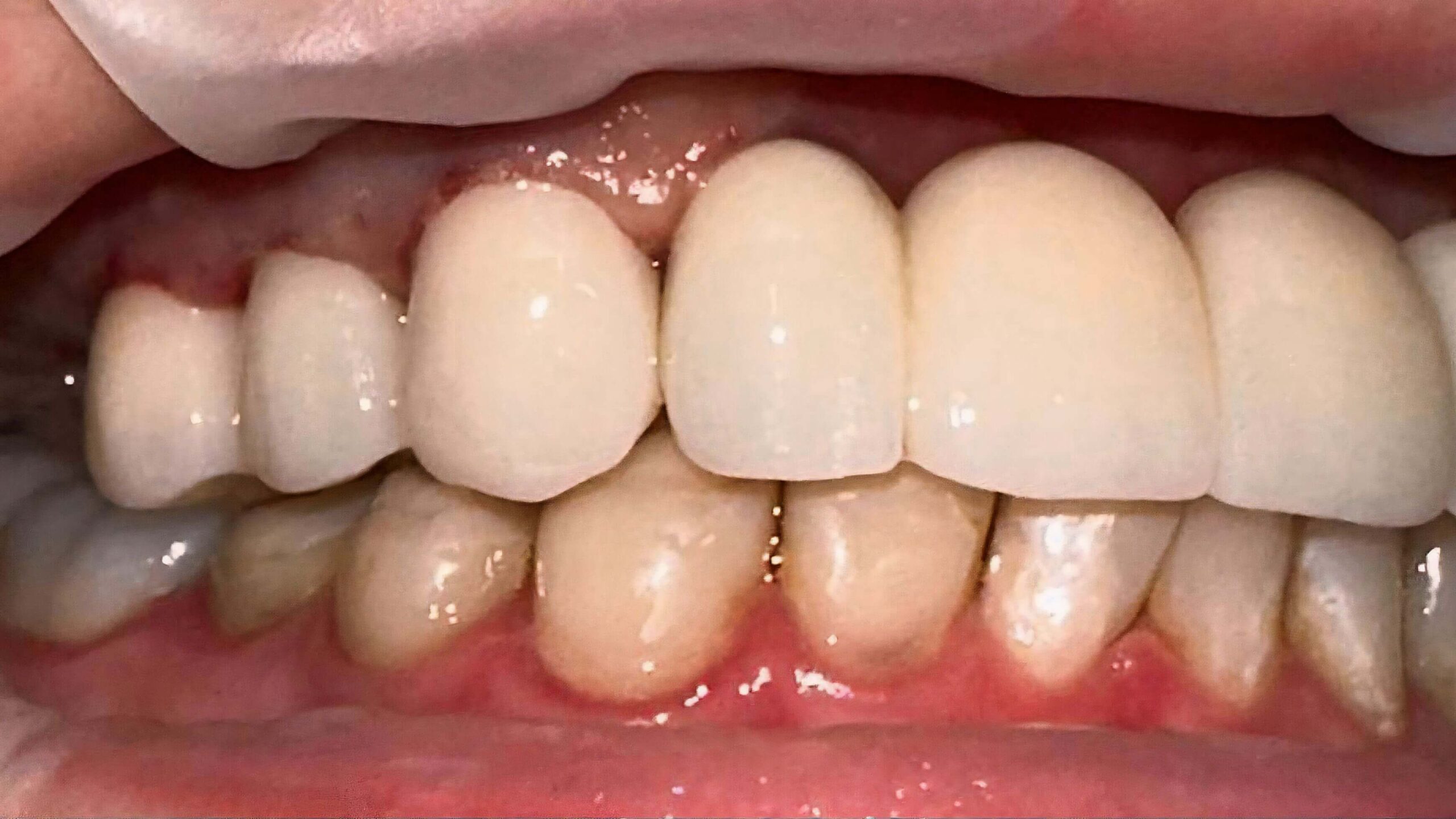
Протезування верхньої щелепи
Вихідна ситуація: ушкодження наявного зубного протеза на верхній щелепі, що ускладнювало процес жування та негативно впливало на естетику усмішки. Провівши детальний огляд стану ротової порожнини, залишкових природних зубів та стан наявного протеза. Запропонували реставрацію наявного протеза. Як результат пацієнт отримав повністю відновлену усмішку, яка виглядає природно та естетично привабливо. Функціональність жування відновлена, що покращило якість життя та повернуло впевненість у спілкуванні з оточенням.
Категорія: Художня реставрація
Художня реставрація зубів з використанням композитних матеріалів
Вихідна ситуація: скарга на каріозне ураження одного з зубів, дискомфорт і чутливість, біль при жуванні. Провівши детальний огляд ротової порожнини ми визначили глибину та обсяг ураження зуба, ми пролікувати зуби від карієсу та запропонували естетичну реставрацію зуба з використанням композитних матеріалів. У результаті пацієнт отримав відновлений зуб, який не відрізняється від природних.
Категорія: Художня реставрація
Художня реставрація зубів з використанням композитних матеріалів
Вихідна ситуація: дискомфорт під час жування та помітне пошкодження жувальної поверхні молярів. Оглянувши ротову порожнину пацієнта, ми виявили каріозну порожнину на жувальній поверхні зуба. Пролікувавши карієс ми запропонували естетичну реставрацію зуба з використанням композитних матеріалів. Як результат, пацієнт отримав відновлену поверхню зуба, яка не відрізняється за функціональністю та естетикою від природної.
Категорія: Художня реставрація
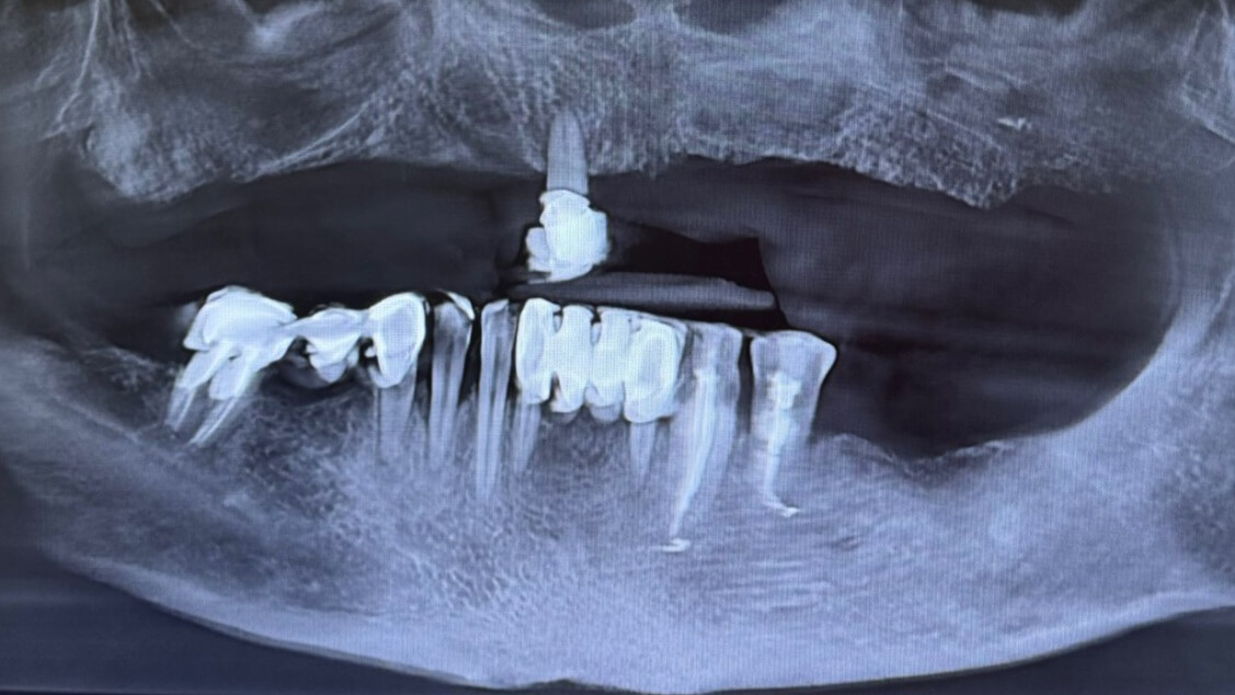
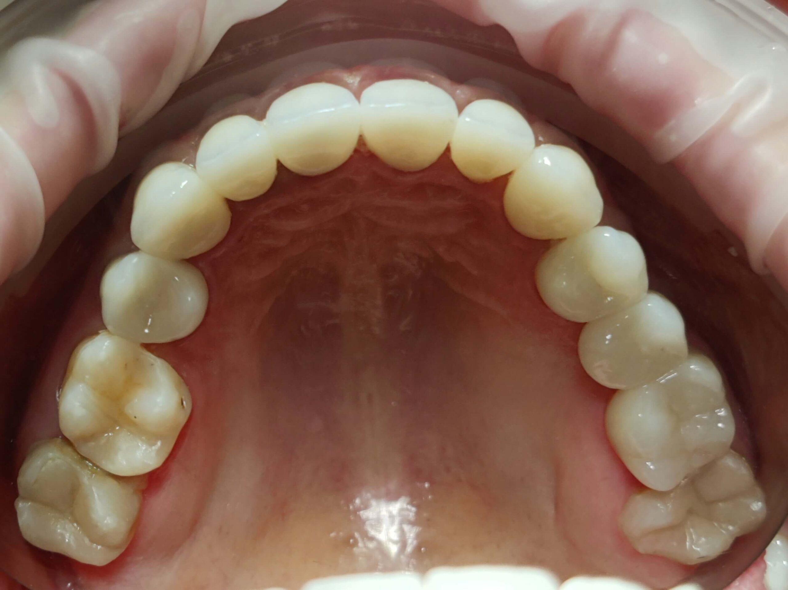
Протезування коронками верхньої щелепи
Вихідна ситуація: скарги пацієнта на часткову відсутність зубів на верхній та нижній щелепах, незадовільна форма зубів верхньої щелепи. Після детального огляду було прийняте рішення про відновлення зубного ряду за допомогою коронок на верхній щелепі.
Категорія: Імплантологія
Художня реставрація нижнього зубного ряду композитними вінірами
Вихідна ситуація: незадовільний колір зубів, стертість емалі, старі реставрації, що потребували заміни.  Побажання пацієнтки: природний вигляд, максимальне збереження наявних здорових тканин зубів і небажання встановлювати коронки. Оцінивши наявну ситуацію і побажання пацієнта ми запропонували реставрацію зубів сучасними композитними матеріалами. Як наслідок пацієнтка отримала відновлений природний колір та форму зубів.
Категорія: Художня реставрація